Encuentra lo que necesitas en la Fundación Valle del Lili

¿Buscas un servicio médico, una especialidad, un profesional de la salud o información sobre citas y programas?
Usa nuestro buscador inteligente para acceder fácilmente a todo lo que ofrece la Fundación Valle del Lili.

Servicios para ti

Artículo

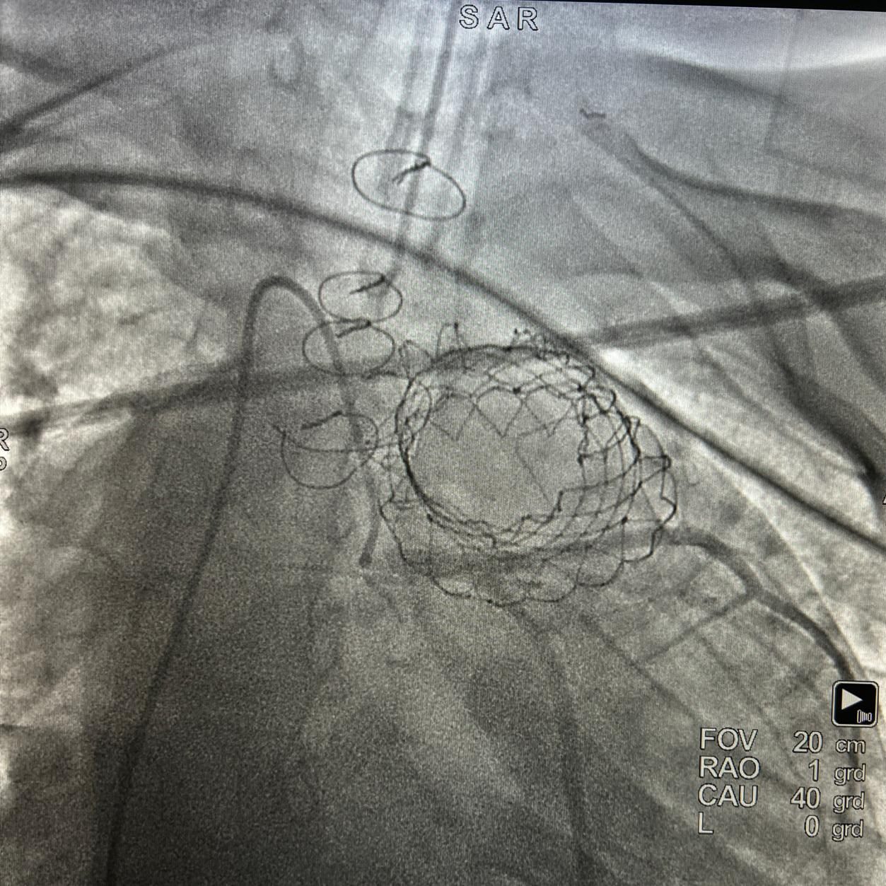
FVL instaló con éxito, por primera vez en Colombia, la válvula pulmonar Venus P

6 febrero 2026

FVL instaló con éxito, por primera vez en Colombia, la válvula pulmonar Venus P


El objetivo principal del procedimiento es restituir la función de la válvula pulmonar, pues su insuficiencia genera disfunción y dilatación del ventrículo derecho, llevando a la incapacidad funcional total del paciente.

Es primera vez que esta válvula es puesta en una institución de salud de Colombia y entre sus principales beneficios se destaca la recuperación más rápida del paciente, quien al día siguiente puede ser dado de alta debido a la no intervención quirúrgica. El procedimiento fue realizado por nuestros especialistas en cardiología pediátrica el Dr. Walter Mosquera y el Dr. Jaiber Gutiérrez, junto a un grupo multidisciplinario del área.


Compartir

Solicitar cita por Whatsapp
Solicitar una llamada
Directorio médico
Consultar resultados
Contáctenos